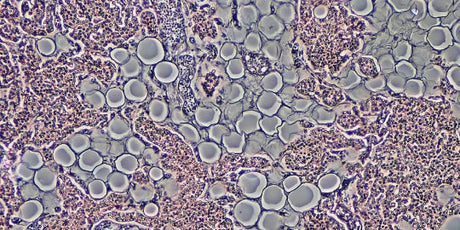
Accelerated Bone Healing with 660 nm Low-Level Laser Therapy and Bone Marrow Coagulation
This study evaluated the effects of 660nm low-level laser therapy and bone marrow aspirate on bone healing in rats, finding accelerated angiogenesis, cell proliferation, osteoblast differentiation, and mineralization.